مجموعه الماس

فراتر از درمان ، متعهد به شما
ما باور داریم که بهترین مسیر درمان، با یک گفتگوی صادقانه آغاز می‌شود. در مجموعه الماس، اولین قدم ما شناخت دقیق نیازها و دغدغه‌های شماست تا بتوانیم طرح درمانی را نه برای شما، بلکه همراه با شما طراحی کنیم. آسایش شما در این فضا، بازتابی از همین رویکرد است
مشاهده خدمات
تخصص یکپارچه ، برای بهترین انتخاب درمانی شما
ارائه خدمات متنوع به ما این قدرت را می‌دهد که به جای پیشنهاد یک راه حل، بهترین راه حل را متناسب با نیاز واقعی شما طراحی کنیم. تیم متخصص ما با بهره‌گیری از تکنولوژی پیشرفته، گزینه‌های درمانی را شفاف به شما توضیح داده و در انتخابی آگاهانه به شما کمک می‌کنند. هدف ما، نتیجه مطلوب و بلندمدت برای شماست.
نمونه کارها
مراقبتی جامع ، با خیالی آسوده
ما می‌دانیم که آرامش شما به آسودگی خاطر عزیزانتان گره خورده است. فراهم کردن فضایی امن و شاد برای کودکان شما، تنها یک امکانات رفاهی نیست؛ بلکه بخشی از تعهد ما برای ایجاد تجربه‌ای بدون استرس و مبتنی بر درک کامل شرایط شماست.
تماس با ما

صفر تا صد زیبایی و لاغری را اینجا جستجو کنید

خدمات مجموعه الماس

خدمات ما، زیبایی شما

امبدینگ لاغری

واریس

تونینگ

کرایو تراپی

پلاسماجت

پیلینگ بدن

کاشت نخ کلاژن

لیفت صورت با نخ

میکرودرم ابرژن

مشاهده همه

لیفت صورت با نخ

تزریق ژل (فیلر)

تزریق چربی

مشاهده همه

تونینگ

پاکسازی و فیشیال تخصصی

پوست کره‌ای

مزونیدلینگ

تزریق بوتاکس

تزریق فاکتورهای رشد

کربوکسی تراپی

آر اف فرکشنال

PRF

مشاهده همه

موارد عمومی منع انجام لیزر

لیزر الماس

مشاهده همه

سانترال لب

خالبرداری با دستگاه

جراحی خال و توده‌های پوستی و زیرپوستی

لیپوساکشن ناحیه غبغب

تزریق چربی

بلفاروپلاستی

مشاهده همه

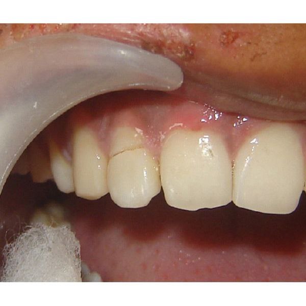
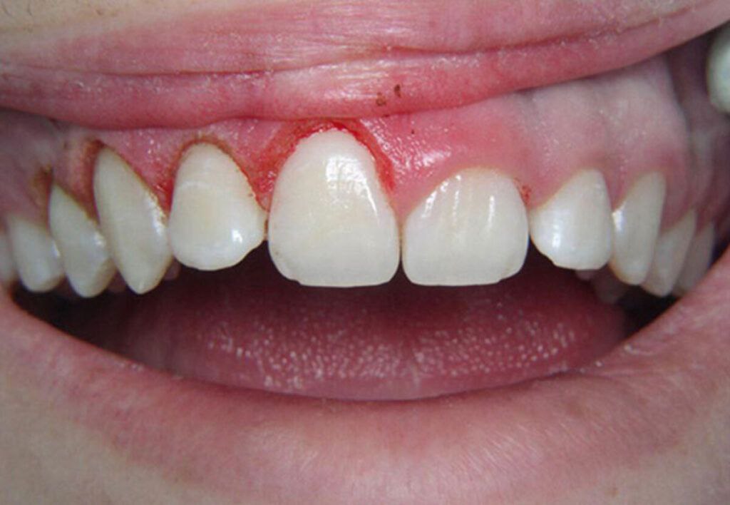
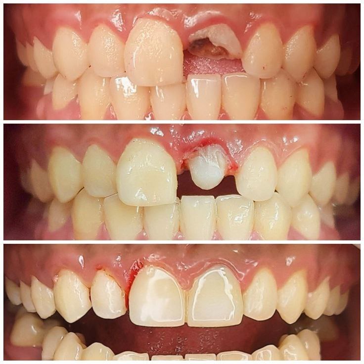
کشیدن دندان: نکات و مراقبت‌های ضروری برای بهبودی سریع

جراحی ریشه شکسته

جراحی لثه(افزایش طول تاج)

جراحی دندان عقل

کشیدن دندان عقل و سایر دندان ها

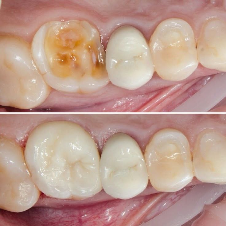
ترمیم کامپوزیت

ترمیم آمالگام

عصب کشی مجدد

پست ریختگی

مشاهده همه

احیای سرد مو

اسکالپ تریتمنت(اسکراب اسکالپ)

هیر فیلر

PRGF

PRF

مزوتراپی

اوزون تراپی

مشاهده همه

لیفت و لمینیت ابرو

لیفت و لمینت مژه

ریموو شیمیایی تاتو

خط چشم

بن مژه

شیدینگ لب

اسکالپ سر

فیبروز و نانوبروز ابرو

مشاهده همه

ماساژ شمع داغ

اقدامات بعد از ماساژ

اقدامات قبل از ماساژ

دستگاه سم زدایی

ماساژ فورهند

ماساژ هربال

ماساژ آروماتراپی

ماساژ روسی

ماساژ بادکش گرم

درباره مجموعه الماس

مجموعه زیبایی الماس با مدیریت دکتر محمدجواد ابراهیمی‌نیا از سال ۱۳۹۸ فعالیت خود را آغاز کرده و امروز یکی از مراکز پیشرو در حوزه خدمات زیبایی و درمانی در کشور به شمار می‌رود.

ما در الماس با بهره‌گیری از تجهیزات پیشرفته، مواد استاندارد و تیمی حرفه‌ای، خدماتی متنوع در زمینه پوست، مو و روش‌های نوین زیبایی ارائه می‌دهیم.

هدف ما ایجاد تجربه‌ای ایمن، باکیفیت و متفاوت برای مراجعین عزیز است؛ چرا که باور داریم زیبایی تنها در ظاهر نیست، بلکه احساس اعتمادبه‌نفس و آرامش درونی است که ارزش واقعی دارد.

اطلاعات بیشتر

چرا مجموعه زیبایی الماس؟

صفحه رسمی مجموعه زیبایی الماس؛ آخرین خدمات، نمونه کارها و نکات زیبایی را اینجا دنبال کنید.

جدیدترین روش‌های دندانپزشکی زیبایی و درمانی همراه با نمونه کارهای تخصصی در پیج دندانپزشکی الماس.

انواع محصولات آرایشی و بهداشتی اصل و باکیفیت، همراه با معرفی و آموزش استفاده در فروشگاه الماس.

پیج اختصاصی مجموعه زیبایی که در آن تمامی کارهای زیبایی قابل مشاهده است

دستگاه ها

مشاهده همه

آخرین مطالب

مشاهده همه